FastBreak™ Cell Lysis Reagent

Part Numbers: V8571, V8572, V8573

Quick E. coli Cell Culture Lysis, No Centrifugation or Mechanical Disruption Required

  • Eliminate centrifugation and mechanical disruption
  • Simple, add-and-incubate protocol
  • Compatible with manual or robotic platforms
2025-de-workshop-productpage-banner-1600x410-de
customize-this-small

Größe

Ausgewählte Katalognummer: V8571

Your price:
Add to Cart
This product is discontinued
Add to Helix
This product is available under our Early Access program - Learn More
This product is available under our Catalog (FT) program - Learn More
FastBreak™ Cell Lysis Reagent
15ml
Your price: Anmelden
Konfiguration ändern

Efficient Lysis of E. coli Cultures; No Centrifugation or Mechanical Disruption Needed

FastBreak™ Cell Lysis Reagent is provided as a 10X concentrate and contains a proprietary nonionic detergent to facilitate lysis. Add the reagent directly to E. coli cultures. Following a brief incubation, the cells are disrupted, and the protein  released. Recombinant proteins can be directly screened in the cell extract or purified by the addition of the appropriate affinity matrix such as the MagneHis™ Protein Purification System. This product is suitable for both manual and automated protocols. 

Eliminate centrifugation and mechanical disruption with this easy-to-use, add and incubate reagent, compatible with manual and robotic platforms.

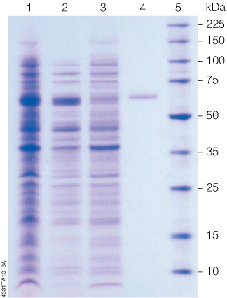
Manual purification of a 6X His-tagged fusion protein using FastBreak™ Cell Lysis Reagent and the MagneHis™ Protein Purification System.

Manual purification of a 6X His-tagged fusion protein using FastBreak™ Cell Lysis Reagent and the MagneHis™ Protein Purification System. Lane 1, bacterial cell lysate expressing 6X His-tagged firefly luciferase lysed by the addition of FastBreak™ Reagent; lane 2, postlysis cell supernatant demonstrating that the protein is solubilized; lane 3, flowthrough of cell lysate after the addition of MagneHis™ Ni-Particles; lane 4, eluted 6X His-tagged firefly luciferase; lane 5, Broad Range Protein Molecular Weight Markers (Cat.# V8491).

Eigenschaften

You are viewing: V8571 Konfiguration ändern

Lieferumfang

Produkt Katalognummer Größe

FastBreak™ Cell Lysis Reagent, 10X

V857A 1 × 15ml

Analysezertifikat

Search by lot number

Nutzungseinschränkung

For Research Use Only. Not for Use in Diagnostic Procedures.

Lagerhinweise

P

Store at 4–25°C.

Patente und Haftungsausschlüsse

This product is licensed for use under U.S. Pat. No. 6,174,704.

Eigenschaften

You are viewing: V8572 Konfiguration ändern

Lieferumfang

Produkt Katalognummer Größe

FastBreak™ Cell Lysis Reagent, 10X

V857B 1 × 60ml

Analysezertifikat

Search by lot number

Nutzungseinschränkung

For Research Use Only. Not for Use in Diagnostic Procedures.

Lagerhinweise

P

Store at 4–25°C.

Patente und Haftungsausschlüsse

This product is licensed for use under U.S. Pat. No. 6,174,704.

Eigenschaften

You are viewing: V8573 Konfiguration ändern

Lieferumfang

Produkt Katalognummer Größe

FastBreak™ Cell Lysis Reagent, 10X

V857C 1 × 100ml

Analysezertifikat

Search by lot number

Nutzungseinschränkung

For Research Use Only. Not for Use in Diagnostic Procedures.

Lagerhinweise

P

Store at 4–25°C.

Patente und Haftungsausschlüsse

This product is licensed for use under U.S. Pat. No. 6,174,704.

Finden Sie das Produkt, das Sie brauchen.

Sprechen Sie mit einem Wissenschaftler

customer-support-global

Deutschland